YAML Metadata
Error:
"base_model" with value "/projects/ac67/projects/diffusers/examples/dreambooth/crc-tumor-text/" is not valid. Use a model id from https://hf.co/models.
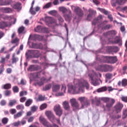
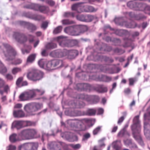
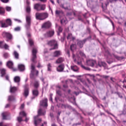
DreamBooth - anic87/crc-tumor-normal-text
This is a dreambooth model derived from /projects/ac67/projects/diffusers/examples/dreambooth/crc-tumor-text/. The weights were trained on a photo of sks tissue-histology-without-tumor using DreamBooth. You can find some example images in the following.
DreamBooth for the text encoder was enabled: True.
- Downloads last month
- 4



